

An Intelligent
Health Imaging Platform
Benefiting imaging healthcare professionals and those they serve.

An Intelligent
Health Imaging Platform
Benefiting imaging healthcare professionals and those they serve.

An Intelligent
Health Imaging Platform
Benefiting imaging healthcare professionals and those they serve.
Efficient and Accurate Reporting
Automated Workflow
A Viewer Made by Reading Physicians

Efficient and Accurate Reporting
Designed by radiologists for radiologists, Synthesis reporting includes a unified worklist, report templates, report comparison, speech recognition, macros, Synthesis Speech Organization, and Synthesis Auto-impression. The system automatically maps into reports the comparison exam citations, contrast/isotope information, radiation doses, technologists measurements, and DICOM structure report findings from ultrasound devices or third party AI applications.
Efficient and Accurate Reporting
Automated Workflow
A Viewer Made by Reading Physicians

Efficient and Accurate Reporting
Designed by radiologists for radiologists, Synthesis reporting includes a unified worklist, report templates, report comparison, speech recognition, macros, Synthesis Speech Organization, and Synthesis Auto-impression. The system automatically maps into reports the comparison exam citations, contrast/isotope information, radiation doses, technologists measurements, and DICOM structure report findings from ultrasound devices or third party AI applications.

Efficient and Accurate Reporting
Automated Workflow
A Viewer Made by Reading Physicians

Efficient and Accurate Reporting
Designed by radiologists for radiologists, Synthesis reporting includes a unified worklist, report templates, report comparison, speech recognition, macros, Synthesis Speech Organization, and Synthesis Auto-impression. The system automatically maps into reports the comparison exam citations, contrast/isotope information, radiation doses, technologists measurements, and DICOM structure report findings from ultrasound devices or third party AI applications.
Efficient and Accurate Reporting
Automated Workflow
A Viewer Made by Reading Physicians

Efficient and Accurate Reporting
Designed by radiologists for radiologists, Synthesis reporting includes a unified worklist, report templates, report comparison, speech recognition, macros, Synthesis Speech Organization, and Synthesis Auto-impression. The system automatically maps into reports the comparison exam citations, contrast/isotope information, radiation doses, technologists measurements, and DICOM structure report findings from ultrasound devices or third party AI applications.


Efficient and Accurate Reporting

Automated Workflow

A Viewer Made by Reading Physicians

Efficient and Accurate Reporting
Designed by radiologists for radiologists, Synthesis reporting includes a unified worklist, report templates, report comparison, speech recognition, macros, Synthesis Speech Organization, and Synthesis Auto-impression. The system automatically maps into reports the comparison exam citations, contrast/isotope information, radiation doses, technologists measurements, and DICOM structure report findings from ultrasound devices or third party AI applications.

Efficient and Accurate Reporting

Automated Workflow

A Viewer Made by Reading Physicians

Efficient and Accurate Reporting
Designed by radiologists for radiologists, Synthesis reporting includes a unified worklist, report templates, report comparison, speech recognition, macros, Synthesis Speech Organization, and Synthesis Auto-impression. The system automatically maps into reports the comparison exam citations, contrast/isotope information, radiation doses, technologists measurements, and DICOM structure report findings from ultrasound devices or third party AI applications.


An Intelligent
Health Imaging Platform


Your Partner in Innovation and Success
Your Partner in Innovation and Success
Drive growth, innovation and success with our solutions and support.
Drive growth, innovation and success with our solutions and support.
Hospitals, Imaging Centers, Teleradiology Groups
Hospitals, Imaging Centers, Teleradiology Groups
Hospitals, Imaging Centers, Teleradiology Groups
Solve the critical radiologist shortage via greater efficiency.
Solve the critical radiologist shortage via greater efficiency.
Overlay your disparate Reporting Systems/PACS for a unified reading solution or replace them at the pace you desire.
Overlay your disparate Reporting Systems/PACS for a unified reading solution or replace them at the pace you desire.
Move to the cloud for lower costs, higher security.
Move to the cloud for lower costs, higher security.
Clean up, normalize, and secure your image archive.
Clean up, normalize, and secure your image archive.
Adopt AI from us and others systematically and cost-effectively.
Adopt AI from us and others systematically and cost-effectively.
OEMS
OEMS
OEMS
Accelerate your move to the cloud and save cost with our SynthSpeech recognition, comprehensive reporting, cloud viewer, unified worklist, or normalized archive solution.
Accelerate your move to the cloud and save cost with our SynthSpeech recognition, comprehensive reporting, cloud viewer, unified worklist, or normalized archive solution.
AI innovators: distribute on our platform.
AI innovators: distribute on our platform.
We are on a quest to rapidly increase the productivity, performance, and happiness of imaging healthcare specialists.
We are on a quest to rapidly increase the productivity, performance, and happiness of imaging healthcare specialists.
We are on a quest to rapidly increase the productivity, performance, and happiness of imaging healthcare specialists.
Join us!
Join us!
Join us!



Proven Results, Happy Clients
Proven Results, Happy Clients
Real stories, real results. See what our clients have to say about their experience with us.
Real stories, real results. See what our clients have to say about their experience with us.
In today’s challenging and demanding medical environment, this is the reading platform that radiologists have been waiting for. Intuitive, well designed and flexible. Designed for radiologists by radiologists.
Dr. Ed Gabriel
RMG Imaging Consultants
Synthesis’s speech organization function is doing a great job with speech accuracy and placement into proper sections of the template. It is an amazing help to dictate multiple different types of studies. It functions great in many different modalities and sections of radiology and is pretty enjoyable to use. Easy to pick up in my opinion as well.
I did a very busy call shift within a week of starting on the system without issue.
Dr. Ryan Redelman
Radiologist at Tahoe Carson Radiology
From day one, the Synthesis team has been incredibly responsive and supportive. It’s clear they understand the pace and pressure of radiology — every question we’ve had has been met with timely, thoughtful guidance. Their follow-through and commitment have made our onboarding process smoother and more collaborative than we expected.
Dr. Jeff Markham
Manager and Senior Radiologist at 6Radiology
In today’s challenging and demanding medical environment, this is the reading platform that radiologists have been waiting for. Intuitive, well designed and flexible. Designed for radiologists by radiologists.
Dr. Ed Gabriel
RMG Imaging Consultants
Synthesis’s speech organization function is doing a great job with speech accuracy and placement into proper sections of the template. It is an amazing help to dictate multiple different types of studies. It functions great in many different modalities and sections of radiology and is pretty enjoyable to use. Easy to pick up in my opinion as well.
I did a very busy call shift within a week of starting on the system without issue.
Dr. Ryan Redelman
Radiologist at Tahoe Carson Radiology
From day one, the Synthesis team has been incredibly responsive and supportive. It’s clear they understand the pace and pressure of radiology — every question we’ve had has been met with timely, thoughtful guidance. Their follow-through and commitment have made our onboarding process smoother and more collaborative than we expected.
Dr. Jeff Markham
Manager and Senior Radiologist at 6Radiology
In today’s challenging and demanding medical environment, this is the reading platform that radiologists have been waiting for. Intuitive, well designed and flexible. Designed for radiologists by radiologists.
Dr. Ed Gabriel
RMG Imaging Consultants
Synthesis’s speech organization function is doing a great job with speech accuracy and placement into proper sections of the template. It is an amazing help to dictate multiple different types of studies. It functions great in many different modalities and sections of radiology and is pretty enjoyable to use. Easy to pick up in my opinion as well.
I did a very busy call shift within a week of starting on the system without issue.
Dr. Ryan Redelman
Radiologist at Tahoe Carson Radiology
From day one, the Synthesis team has been incredibly responsive and supportive. It’s clear they understand the pace and pressure of radiology — every question we’ve had has been met with timely, thoughtful guidance. Their follow-through and commitment have made our onboarding process smoother and more collaborative than we expected.
Dr. Jeff Markham
Manager and Senior Radiologist at 6Radiology
U.S. FDA Cleared AI Vendors Whose Product We Offer
U.S. FDA Cleared AI Vendors Whose Product We Offer





A Cloud-Native Intelligent Radiology Platform
A Cloud-Native Intelligent Radiology Platform
A faster, simpler, AI-enabled, comprehensive cloud platform that can connect to or replace your PACS/image archive/reporting. Designed by radiologists to improve radiologist and technology efficiency and quality. We are a uniquely comprehensive, affordable, scalable, and secure solution to address the radiologist and technologist shortage.
A faster, simpler, AI-enabled, comprehensive cloud platform that can connect to or replace your PACS/image archive/reporting. Designed by radiologists to improve radiologist and technology efficiency and quality. We are a uniquely comprehensive, affordable, scalable, and secure solution to address the radiologist and technologist shortage.
Interface engine
Interface engine
Clinical guidance
Clinical guidance
Workflow orchestrator
Workflow orchestrator
Technologist workflow
Technologist workflow
Data standardization and cleanup
Data standardization and cleanup
AI from Synthesis* or others
AI from Synthesis* or others
Management reporting
Management reporting
Synthesis speech recognition
Synthesis speech recognition
Cloud archive
Cloud archive
Clinical reporting
Clinical reporting
Implementation and training
Implementation and training
DICOM structured reporting
DICOM structured reporting
Diagnostic and enterprise image viewer
Diagnostic and enterprise image viewer
Interface engine
Clinical guidance
Workflow orchestrator
Technologist workflow
Data standardization and cleanup
AI from Synthesis* or others
Management reporting
Synthesis speech recognition
Cloud archive
Clinical reporting
Implementation and training
DICOM structured reporting
Diagnostic and enterprise image viewer
A reading overlay
A reporting solution
Individual modules
A standardized cloud archive
A comprehensive Intelligent Radiology Platform to replace your PACS
A standardized cloud archive
A comprehensive Intelligent Radiology Platform to replace your PACS
Designed to support compliance with HIPAA and PIPEDA standards.
Designed to support compliance with HIPAA and PIPEDA standards.
Designed to support compliance with HIPAA and PIPEDA standards.
Our platform runs on secure cloud infrastructure maintained by providers certified to HITRUST, SOC2, and ISO27001 standards.
Our platform runs on secure cloud infrastructure maintained by providers certified to HITRUST, SOC2, and ISO27001 standards.
Our platform runs on secure cloud infrastructure maintained by providers certified to HITRUST, SOC2, and ISO27001 standards.
Our internal IT infrastructure is SOC2 certified.
Our internal IT infrastructure is SOC2 certified.
Our internal IT infrastructure is SOC2 certified.
AI applications are pending regulatory approval.
AI applications are pending regulatory approval.
AI applications are pending regulatory approval.
Synthesis VISION is regulated by FDA 510(k) #: K240724.
Synthesis VISION is regulated by FDA 510(k) #: K240724.
Synthesis VISION is regulated by FDA 510(k) #: K240724.
U.S. and international patents pending.
U.S. and international patents pending.
U.S. and international patents pending.



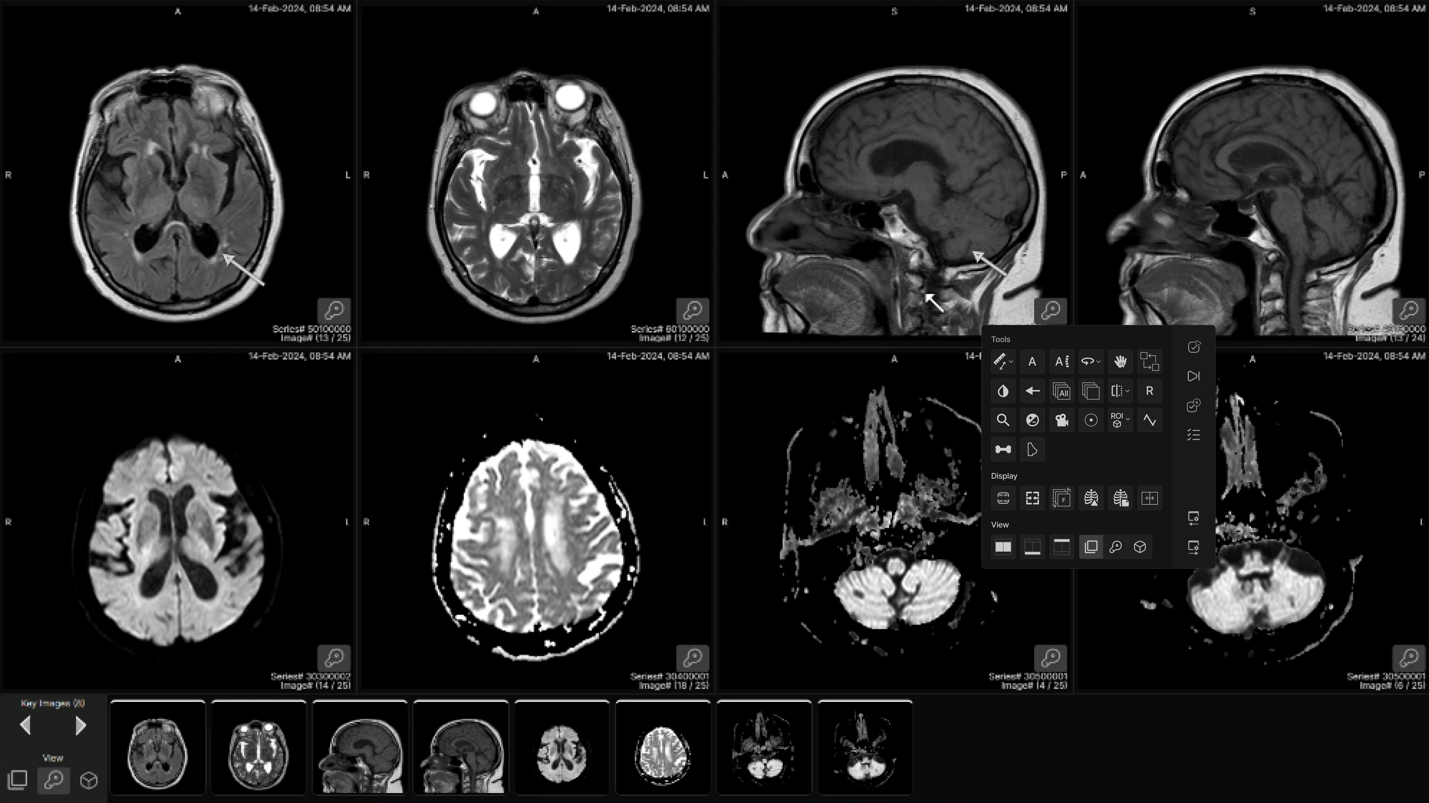
Diagnostic and Enterprise Viewer
Diagnostic and Enterprise Viewer
Synthesis VISION viewer (Available in U.S. and Canada only):
Synthesis VISION viewer (Available in U.S. and Canada only):
Understandable and robust hanging protocols you can share.
Understandable and robust hanging protocols you can share.
Designed to reduce clicks, head movements, and eye movements.
Designed to reduce clicks, head movements, and eye movements.
All modalities, advanced image processing, single monitor or multi-monitor viewing.
All modalities, advanced image processing, single monitor or multi-monitor viewing.
Third-party viewer options.
Third-party viewer options.
Interoperability with EMRs.
Interoperability with EMRs.





Uniform Worklist and Cloud Storage
Uniform Worklist and Cloud Storage
A reading overlay to your PACS or a Reporting/PACS replacement.
A reading overlay to your PACS or a Reporting/PACS replacement.
The Synthesis Playbook: modalities, exam descriptions, body regions, report templates, technology forms, and hanging protocols are normalized and optimized.
The Synthesis Playbook: modalities, exam descriptions, body regions, report templates, technology forms, and hanging protocols are normalized and optimized.
Customizable columns and filters.
Customizable columns and filters.
Powerful search and sort.
Powerful search and sort.
Expedite work based on due times and priorities.
Expedite work based on due times and priorities.
The Synthesis Cloud Archive, which can be purchased separately, is also normalized to the Synthesis Playbook.
The Synthesis Cloud Archive, which can be purchased separately, is also normalized to the Synthesis Playbook.
Enhanced Clinical Reporting
Enhanced Clinical Reporting
SynthSpeech cloud speech recognition.
SynthSpeech cloud speech recognition.
Speech Organization.
Speech Organization.
Auto-impression with AI.
Auto-impression with AI.
Automated AI-based report corrections.
Automated AI-based report corrections.
Comprehensive report templates.
Comprehensive report templates.
Breast reporting.
Breast reporting.
Automated AI-based breast report assessments and recommendations.
Automated AI-based breast report assessments and recommendations.
DICOM SR interoperability.
DICOM SR interoperability.
Proper exam titles and image counts.
Proper exam titles and image counts.
Auto-citation of comparison exams.
Auto-citation of comparison exams.
Auto-mapping of histories, contrast, isotopes, radiation dose, technologists’ findings, measurements, supplies, and activities in the interventional suite.
Auto-mapping of histories, contrast, isotopes, radiation dose, technologists’ findings, measurements, supplies, and activities in the interventional suite.
Macros, custom templates, and custom user vocabulary editor.
Macros, custom templates, and custom user vocabulary editor.
Organized, normalized comparison exam list.
Organized, normalized comparison exam list.








Automated Exam Assignment
Automated Exam Assignment
Intelligent automated creation and assignment of duties per organization and/or per facility.
Intelligent automated creation and assignment of duties per organization and/or per facility.
Dashboard of key metrics.
Dashboard of key metrics.
Air-traffic controller's view of available radiologists and status of duties per
facility.
Air-traffic controller's view of available radiologists and status of duties per
facility.

Key Features and Benefits
Discover the features and benefits and learn how our solution can help you achieve your goals.

Cloud-native, modern architecture.
Zero downtime upgrades.
True SAAS model pricing.
Architecture allows for multi-tenant data segregation, while still allowing for radiologists to have a unified worklist experience.
Data in the cloud is stored in a DICOM conformant, open format which allows for seamless, multi-threaded access – in essence, a cloud VNA.
Unparalleled speed because of hybrid precaching + cloud automation.
Powerful data normalization. Nobody else has the Synthesis Playbook of exam types, body regions, templates, and forms to make deployment easy and reading easier. A radiologist can read for five completely different institutions, but exams and templates will be presented as if from one organization.
Unified solution: our comprehensive platform incorporates the functions of what typically requires multiple, interfaced vendors. We control all the components of the platform, which allows for unprecedented coordination of workflow, customization, and seamless AI deployment.
Better design informed by an understanding of cognitive science.
Built-in breast reading and reporting workflow.
Built-in comprehensive reporting and speech recognition without requiring a third-party vendor.
Automated exam assignment without requiring a third-party vendor.
Customizable data analytics and dashboards.
Learning center allows for self-education and upskilling, with demo cases available.
Effortless migration, which is done intelligently within the workflow using sophisticated relevancy logic; this is matched with off-hours, appropriately scaled migration or residual data.
Workflow for radiologist support…exams can be flagged while reading in various ways, thereby queueing exams for support by administrative personnel.
Built-in 3D MPR capabilities.
Next generation hanging protocols that are easy to implement and understand.

Cloud-native, modern architecture.
Zero downtime upgrades.
True SAAS model pricing.
Architecture allows for multi-tenant data segregation, while still allowing for radiologists to have a unified worklist experience.
Data in the cloud is stored in a DICOM conformant, open format which allows for seamless, multi-threaded access – in essence, a cloud VNA.
Unparalleled speed because of hybrid precaching + cloud automation.
Powerful data normalization. Nobody else has the Synthesis Playbook of exam types, body regions, templates, and forms to make deployment easy and reading easier. A radiologist can read for five completely different institutions, but exams and templates will be presented as if from one organization.
Unified solution: our comprehensive platform incorporates the functions of what typically requires multiple, interfaced vendors. We control all the components of the platform, which allows for unprecedented coordination of workflow, customization, and seamless AI deployment.
Better design informed by an understanding of cognitive science.
Built-in breast reading and reporting workflow.
Built-in comprehensive reporting and speech recognition without requiring a third-party vendor.
Automated exam assignment without requiring a third-party vendor.
Customizable data analytics and dashboards.
Learning center allows for self-education and upskilling, with demo cases available.
Effortless migration, which is done intelligently within the workflow using sophisticated relevancy logic; this is matched with off-hours, appropriately scaled migration or residual data.
Workflow for radiologist support…exams can be flagged while reading in various ways, thereby queueing exams for support by administrative personnel.
Built-in 3D MPR capabilities.
Next generation hanging protocols that are easy to implement and understand.
Cloud-native, modern architecture.
Zero downtime upgrades.
True SAAS model pricing.
Architecture allows for multi-tenant data segregation, while still allowing for radiologists to have a unified worklist experience.
Data in the cloud is stored in a DICOM conformant, open format which allows for seamless, multi-threaded access – in essence, a cloud VNA.
Unparalleled speed because of hybrid precaching + cloud automation.
Powerful data normalization. Nobody else has the Synthesis Playbook of exam types, body regions, templates, and forms to make deployment easy and reading easier. A radiologist can read for five completely different institutions, but exams and templates will be presented as if from one organization.
Unified solution: our comprehensive platform incorporates the functions of what typically requires multiple, interfaced vendors. We control all the components of the platform, which allows for unprecedented coordination of workflow, customization, and seamless AI deployment.
Better design informed by an understanding of cognitive science.
Built-in breast reading and reporting workflow.
Built-in comprehensive reporting and speech recognition without requiring a third-party vendor.
Automated exam assignment without requiring a third-party vendor.
Customizable data analytics and dashboards.
Learning center allows for self-education and upskilling, with demo cases available.
Effortless migration, which is done intelligently within the workflow using sophisticated relevancy logic; this is matched with off-hours, appropriately scaled migration or residual data.
Workflow for radiologist support…exams can be flagged while reading in various ways, thereby queueing exams for support by administrative personnel.
Built-in 3D MPR capabilities.
Next generation hanging protocols that are easy to implement and understand.
Cloud-native, modern architecture.
Zero downtime upgrades.
True SAAS model pricing.
Architecture allows for multi-tenant data segregation, while still allowing for radiologists to have a unified worklist experience.
Data in the cloud is stored in a DICOM conformant, open format which allows for seamless, multi-threaded access – in essence, a cloud VNA.
Unparalleled speed because of hybrid precaching + cloud automation.
Powerful data normalization. Nobody else has the Synthesis Playbook of exam types, body regions, templates, and forms to make deployment easy and reading easier. A radiologist can read for five completely different institutions, but exams and templates will be presented as if from one organization.
Unified solution: our comprehensive platform incorporates the functions of what typically requires multiple, interfaced vendors. We control all the components of the platform, which allows for unprecedented coordination of workflow, customization, and seamless AI deployment.
Better design informed by an understanding of cognitive science.
Built-in breast reading and reporting workflow.
Built-in comprehensive reporting and speech recognition without requiring a third-party vendor.
Automated exam assignment without requiring a third-party vendor.
Customizable data analytics and dashboards.
Learning center allows for self-education and upskilling, with demo cases available.
Effortless migration, which is done intelligently within the workflow using sophisticated relevancy logic; this is matched with off-hours, appropriately scaled migration or residual data.
Workflow for radiologist support…exams can be flagged while reading in various ways, thereby queueing exams for support by administrative personnel.
Built-in 3D MPR capabilities.
Next generation hanging protocols that are easy to implement and understand.
Cloud-native, modern architecture.
Zero downtime upgrades.
True SAAS model pricing.
Architecture allows for multi-tenant data segregation, while still allowing for radiologists to have a unified worklist experience.
Data in the cloud is stored in a DICOM conformant, open format which allows for seamless, multi-threaded access – in essence, a cloud VNA.
Unparalleled speed because of hybrid precaching + cloud automation.
Powerful data normalization. Nobody else has the Synthesis Playbook of exam types, body regions, templates, and forms to make deployment easy and reading easier. A radiologist can read for five completely different institutions, but exams and templates will be presented as if from one organization.
Unified solution: our comprehensive platform incorporates the functions of what typically requires multiple, interfaced vendors. We control all the components of the platform, which allows for unprecedented coordination of workflow, customization, and seamless AI deployment.
Better design informed by an understanding of cognitive science.
Built-in breast reading and reporting workflow.
Built-in comprehensive reporting and speech recognition without requiring a third-party vendor.
Automated exam assignment without requiring a third-party vendor.
Customizable data analytics and dashboards.
Learning center allows for self-education and upskilling, with demo cases available.
Effortless migration, which is done intelligently within the workflow using sophisticated relevancy logic; this is matched with off-hours, appropriately scaled migration or residual data.
Workflow for radiologist support…exams can be flagged while reading in various ways, thereby queueing exams for support by administrative personnel.
Built-in 3D MPR capabilities.
Next generation hanging protocols that are easy to implement and understand.
Key Features and Benefits
Discover the features and benefits and learn how our solution can help you achieve your goals.
Implement, Train, Go Live
Implement, Train, Go Live
User education is built-in and designs are created by recognized experts.
User education is built-in and designs are created by recognized experts.
Synthesis Playbook for Imaging Excellence
Synthesis Playbook for Imaging Excellence
Standardized modalities
Standardized modalities
Standardized exam types
Standardized exam types
Standardized body regions
Standardized body regions
Standardized report templates
Standardized report templates
Standardized tech forms
Standardized tech forms
Standardized protocol documents
Standardized protocol documents
Standardized comparison rules
Standardized comparison rules
Built-In Training for Continuous Performance Improvement

Your support, our priority. Help is always within reach!
Find answers to your questions and access training to get the most out of our tools. Available for reading physicians, technologists and administrators.

Explore our learning center categories tailored for you
Navigate through support articles, news, videos, keyboard shortcuts, and more—your guide to quick answers, insights and training!

Test your knowledge
Review the study guide to make sure you understand the key concepts and information necessary to successfully complete the test.
Review the Guides
Access our Learning Center and review the guides tailored for you.
Take the Test
Apply your knowledge of our guides and take the test.
Training Complete!
Congratulations! You've completed our comprehensive training program.
Reading Physicians
Administrators
Technologists
Available for:
Built-In Training for Continuous Performance Improvement
Review the Guides
Access our Learning Center and review the guides tailored for you.
Take the Test
Apply your knowledge of our guides and take the test.
Training Complete!
Congratulations! You've completed our comprehensive training program.
Available for:
Reading Physicians
Administrators
Technologists

Your support, our priority. Help is always within reach!
Find answers to your questions and access training to get the most out of our tools. Available for reading physicians, technologists and administrators.

Explore our learning center categories tailored for you
Navigate through support articles, news, videos, keyboard shortcuts, and more—your guide to quick answers, insights and training!

Test your knowledge
Review the study guide to make sure you understand the key concepts and information necessary to successfully complete the test.

Your support, our priority. Help is always within reach!
Find answers to your questions and access training to get the most out of our tools. Available for reading physicians, technologists and administrators.

Explore our learning center categories tailored for you
Navigate through support articles, news, videos, keyboard shortcuts, and more—your guide to quick answers, insights and training!

Test your knowledge
Review the study guide to make sure you understand the key concepts and information necessary to successfully complete the test.
Our Team Has a Stellar Track Record of Customer Success
Our Team Has a Stellar Track Record of Customer Success
We are a privately held global company based in the U.S. and Canada, led by highly respected, experienced leaders in imaging healthcare. Our cloud-native workflow software is insightfully designed and unusually comprehensive, including image management, advanced imaging processing, and a complete AI-enabled reporting package. Since product launch in Q3 2023, our new customers include one of the world’s largest imaging center organizations, one of the most respected teleradiology groups, and a large OEM. Why would large and prestigious customers risk a relationship with a start-up? Because our leadership has a stellar track record, our architecture is secure, scalable, and interoperable; our designs are beautiful, and our values are enduring. Hospitals and imaging centers are struggling with physician and technologist staffing. We see our technology as a solution to imaging professional burnout and undersupply. Let us prove it to you.
We are a privately held global company based in the U.S. and Canada, led by highly respected, experienced leaders in imaging healthcare. Our cloud-native workflow software is insightfully designed and unusually comprehensive, including image management, advanced imaging processing, and a complete AI-enabled reporting package. Since product launch in Q3 2023, our new customers include one of the world’s largest imaging center organizations, one of the most respected teleradiology groups, and a large OEM. Why would large and prestigious customers risk a relationship with a start-up? Because our leadership has a stellar track record, our architecture is secure, scalable, and interoperable; our designs are beautiful, and our values are enduring. Hospitals and imaging centers are struggling with physician and technologist staffing. We see our technology as a solution to imaging professional burnout and undersupply. Let us prove it to you.


Murray A. Reicher, MD FACR
Chief Executive Officer

Murray A. Reicher, MD FACR
Chief Executive Officer

Murray A. Reicher, MD FACR
Chief Executive Officer

Murray A. Reicher, MD FACR
Chief Executive Officer

Josh Kaechele
Chief Revenue Officer

Josh Kaechele
Chief Revenue Officer

Josh Kaechele
Chief Revenue Officer

Josh Kaechele
Chief Revenue Officer

Frans A. van Houten
Chairman

Frans A. van Houten
Chairman

Frans A. van Houten
Chairman

Frans A. van Houten
Chairman

Deepak Kaura, MD MBA
Chief of Product Vision and Strategic Partnership

Deepak Kaura, MD MBA
Chief of Product Vision and Strategic Partnership

Deepak Kaura, MD MBA
Chief of Product Vision and Strategic Partnership

Deepak Kaura, MD MBA
Chief of Product Vision and Strategic Partnership

Jesse Wakley
Chief Technology Officer

Jesse Wakley
Chief Technology Officer

Jesse Wakley
Chief Technology Officer

Jesse Wakley
Chief Technology Officer

Raul Ruiz
Chief of Operations

Raul Ruiz
Chief of Operations

Raul Ruiz
Chief of Operations

Raul Ruiz
Chief of Operations
Together with our customers, we are one team.
Together with our customers, we are one team.
Together with our customers, we are one team.
Mission
Mission
Mission
To provide intelligent software that benefits imaging healthcare professionals and those they serve.
To provide intelligent software that benefits imaging healthcare professionals and those they serve.
To provide intelligent software that benefits imaging healthcare professionals and those they serve.
Vision
Vision
Vision
Our dream is to touch a billion lives by building technology that scales human intelligence.
Our dream is to touch a billion lives by building technology that scales human intelligence.
Our dream is to touch a billion lives by building technology that scales human intelligence.
Values
Values
Values
Clinical service first, team with our customers, listen, respect, learn and innovate to excel.
Clinical service first, team with our customers, listen, respect, learn and innovate to excel.
Clinical service first, team with our customers, listen, respect, learn and innovate to excel.
Behaviors
Behaviors
Behaviors
Be honest, creative, nice and helpful.
Be honest, creative, nice and helpful.
Be honest, creative, nice and helpful.

Key Points
Our management team HAS DONE IT BEFORE
Large market of >$25B annual revenue.
Large market of >$25B annual revenue.
Sustainable product differentiators backed by pending patents.
Sustainable product differentiators backed by pending patents.
Market acceleration caused by critical radiologist shortage.
Market acceleration caused by critical radiologist shortage.
Highly respected customers and accelerating sales pipeline.
Highly respected customers and accelerating sales pipeline.
…and our management team IS DOING IT AGAIN!
For more information contact:
mreicher@synthesis.health

Key Points
Our management team HAS DONE IT BEFORE
Large market of >$25B annual revenue.
Sustainable product differentiators backed by pending patents.
Market acceleration caused by critical radiologist shortage.
Highly respected customers and accelerating sales pipeline.
…and our management team IS DOING IT AGAIN!
For more information contact:
mreicher@synthesis.health
Frequently Asked Questions
Frequently Asked Questions
Find answers to common questions about our platform.
Find answers to common questions about our platform.
How does the Synthesis Intelligent Workflow Management enhance physician performance?
How does the Synthesis Intelligent Workflow Management enhance physician performance?
How does the Synthesis Intelligent Workflow Management enhance physician performance?
How does the Synthesis Intelligent Workflow Management enhance physician performance?
How does the Synthesis comprehensive approach to cloud technology help?
How does the Synthesis comprehensive approach to cloud technology help?
How does the Synthesis comprehensive approach to cloud technology help?
How does the Synthesis comprehensive approach to cloud technology help?
How do support personnel enhance physician performance?
How do support personnel enhance physician performance?
How do support personnel enhance physician performance?
How do support personnel enhance physician performance?
What is your competitive advantage vs. imaging outsourcing firms from an investor’s perspective?
What is your competitive advantage vs. imaging outsourcing firms from an investor’s perspective?
What is your competitive advantage vs. imaging outsourcing firms from an investor’s perspective?
What is your competitive advantage vs. imaging outsourcing firms from an investor’s perspective?
How does the Synthesis Platform benefit healthcare professionals?
How does the Synthesis Platform benefit healthcare professionals?
How does the Synthesis Platform benefit healthcare professionals?
How does the Synthesis Platform benefit healthcare professionals?
What is the Synthesis approach to artificial intelligence?
What is the Synthesis approach to artificial intelligence?
What is the Synthesis approach to artificial intelligence?
What is the Synthesis approach to artificial intelligence?
How does the Synthesis Platform benefit IT personnel?
How does the Synthesis Platform benefit IT personnel?
How does the Synthesis Platform benefit IT personnel?
How does the Synthesis Platform benefit IT personnel?
Canada
Canada
22420 Dewdney Trunk Road, Suite 300
Maple Ridge, BC, V2X 3J5
22420 Dewdney Trunk Road, Suite 300
Maple Ridge, BC, V2X 3J5
United States
United States
23501 Cinco Ranch Blvd, STE H120 PMB 662
Katy, TX 77494
23501 Cinco Ranch Blvd, STE H120 PMB 662
Katy, TX 77494
